胸水中に出現した悪性黒色腫の1例
症例
胸水 60歳代 男性
背部の悪性黒色腫の手術歴があり、その後、胸部や腋窩の皮膚転移を繰り返していた。今回、左肺の胸膜に腫瘤形成を認め、胸水も出現したため、胸水の穿刺細胞診が施行された。
背部の悪性黒色腫の手術歴があり、その後、胸部や腋窩の皮膚転移を繰り返していた。今回、左肺の胸膜に腫瘤形成を認め、胸水も出現したため、胸水の穿刺細胞診が施行された。
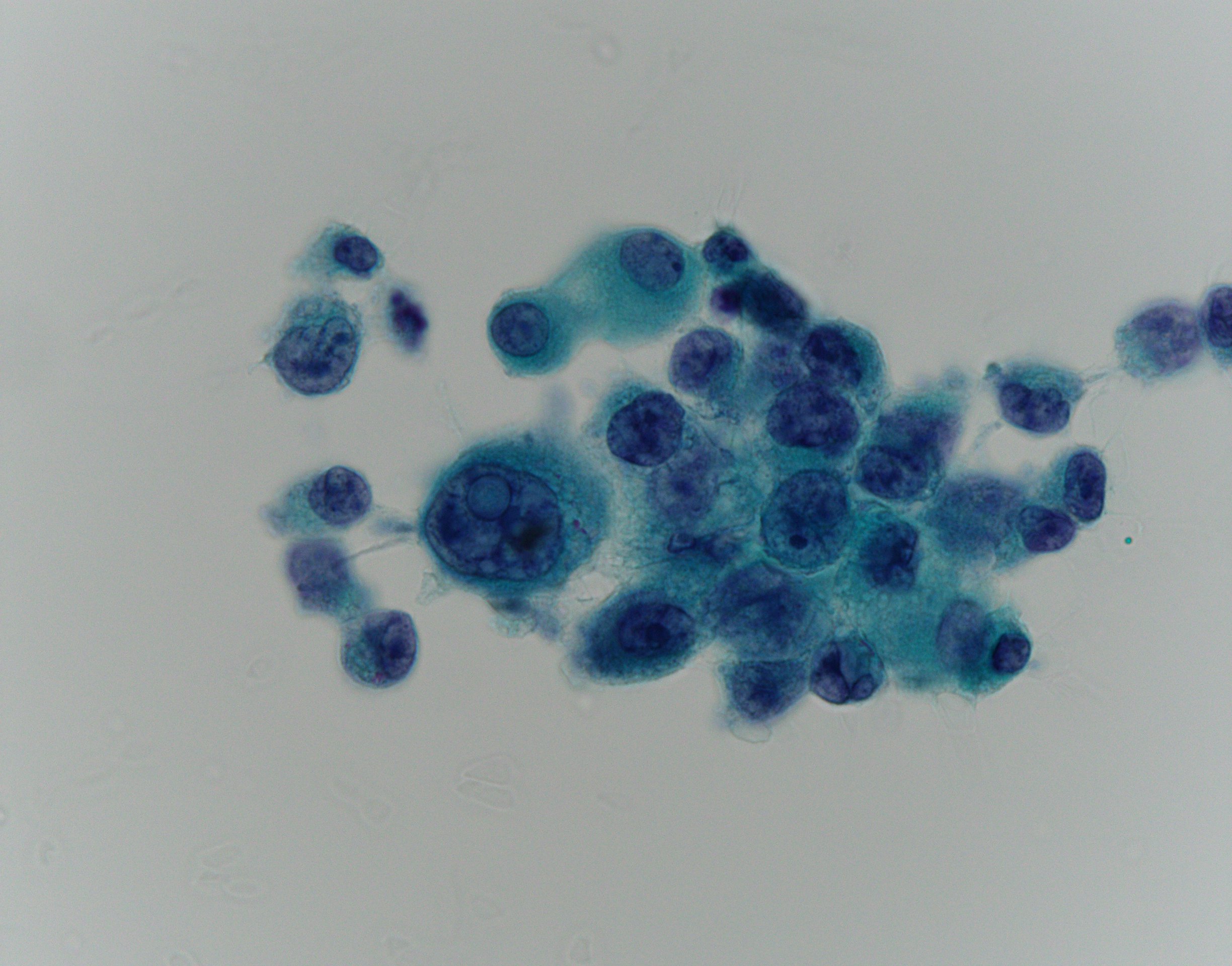
細胞診所見
血性の胸水。核が偏在し、核型不整や核大小不同を示す異型細胞が、散在性~一部緩い結合性を有する集塊状に認められた。クロマチンは細顆粒状で大型の核小体が確認された。ごく少数の細胞では、核内封入体も認めた。HMB45の免疫染色では、異型細胞が陽性を示し、悪性黒色腫と診断した。
組織所見
セルブロック検体では、円形~類円形の腫瘍細胞を認めた。腫瘍細胞は不整な核を有し、多核の腫瘍細胞や核偏在性の腫瘍細胞もみられた。免疫染色では、腫瘍細胞はMelan A、HMB45に陽性を示した。また、Fontana-Masson染色では、数個の腫瘍細胞にメラニンを認めたが、ほとんどの腫瘍細胞はメラニンを含有していなかった。
まとめ / 考察
メラニンを有する腫瘍細胞をほとんど確認できず、細胞所見から悪性黒色腫と低分化腺癌を鑑別するのが難しい症例を経験した。免疫染色や臨床情報も踏まえた総合的な判断が重要であると考えられた。



