オレンジG好性細胞を含む悪性中皮腫の一例
症例
胸水 60歳代 男性
職業 電気設備 喫煙歴なし
咳と息切れを主訴とし近医受診、肺癌疑いにて当院を紹介。
受診時、CTで左葉間胸膜に不整な肥厚が認められたため胸水細胞診およびヒアルロン酸測定が施行された。
また、左鎖骨上窩リンパ節腫大が認められたため同部より生検が施行された。
職業 電気設備 喫煙歴なし
咳と息切れを主訴とし近医受診、肺癌疑いにて当院を紹介。
受診時、CTで左葉間胸膜に不整な肥厚が認められたため胸水細胞診およびヒアルロン酸測定が施行された。
また、左鎖骨上窩リンパ節腫大が認められたため同部より生検が施行された。
細胞診所見
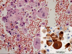
胸水は血性。
リンパ球系細胞を背景に大小不同が目立ち平面的な配列を示す異型細胞が多数認められた。
異型細胞は単核から多核で類円形、核型不整は目立たず、核の位置は中心性、クロマチンは微細顆粒状から粗顆粒状、2~3個の核小体を有していた。
細胞質は肥厚し、時にオレンジGに好染していた。以上より悪性中皮腫が疑われ、セルブロックの作製も行った。
リンパ球系細胞を背景に大小不同が目立ち平面的な配列を示す異型細胞が多数認められた。
異型細胞は単核から多核で類円形、核型不整は目立たず、核の位置は中心性、クロマチンは微細顆粒状から粗顆粒状、2~3個の核小体を有していた。
細胞質は肥厚し、時にオレンジGに好染していた。以上より悪性中皮腫が疑われ、セルブロックの作製も行った。
組織所見
検体は胸水セルブロック。
クロマチン増量した核、明瞭な核小体、淡好酸性で泡沫状の胞体を呈する異型細胞が乳頭状、あるいは孤在性に認められた。
多核の異型細胞が混在してみられた。明らかな扁平上皮系細胞はみられなかった。
免疫染色ではcalretinin, WT-1, D2-40, CK5が陽性。
また左鎖骨上窩リンパ節生検も施行され同様の異型細胞の転移が認められた。
以上、悪性中皮腫と診断した。
クロマチン増量した核、明瞭な核小体、淡好酸性で泡沫状の胞体を呈する異型細胞が乳頭状、あるいは孤在性に認められた。
多核の異型細胞が混在してみられた。明らかな扁平上皮系細胞はみられなかった。
免疫染色ではcalretinin, WT-1, D2-40, CK5が陽性。
また左鎖骨上窩リンパ節生検も施行され同様の異型細胞の転移が認められた。
以上、悪性中皮腫と診断した。

まとめ / 考察
体腔液中にオレンジG好性細胞を認めた場合、扁平上皮系細胞かどうかの確認が必要であり、免疫染色による結果と悪性中皮腫の症例の中にオレンジG好性細胞が出現することを知っておくことが重要である。
また、臨床所見や画像所見、ヒアルロン酸値などの生化学検査なども参考に総合的に判断する必要がある。
また、臨床所見や画像所見、ヒアルロン酸値などの生化学検査なども参考に総合的に判断する必要がある。