乳腺に発生した腺筋上皮腫の1例
症例
右乳房 50歳代 女性
右乳房CD領域に血流増大を示す11mm大の境界ほぼclearな腫瘤を認め、PapillomaまたはDCISを疑い穿刺吸引細胞診が施行された。
右乳房CD領域に血流増大を示す11mm大の境界ほぼclearな腫瘤を認め、PapillomaまたはDCISを疑い穿刺吸引細胞診が施行された。
細胞診所見
泡沫細胞や裸核状細胞をみるきれいな背景に、線維性結合織や粘液様・基底膜様物質を伴う結合性良好なシート状や乳頭状の乳管上皮細胞集塊を認める。多くが二相性を保つものの、小集塊や孤在性細胞も散見される。またレース状や泡沫状の広い細胞質を有する細胞集塊も出現し、核内細胞質封入体様構造を認める。
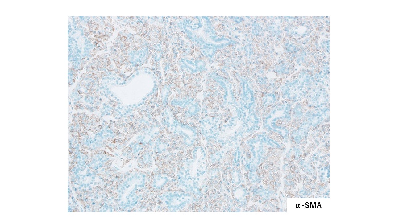
組織所見
境界明瞭な結節性病変で管状および乳頭状に増生する腺管上皮を認め、周囲に小型の筋上皮細胞がびまん性に増生する。核異型や核分裂像は乏しい。腺管上皮にはCK7、筋上皮細胞にはα-SMA・p63・Calponinが陽性を呈し、腺筋上皮腫と診断される。
まとめ / 考察
腺筋上皮腫は腺上皮と筋上皮の二相型の増生からなる稀な良性腫瘍であり、筋上皮は多彩な細胞形態をとりうるため、腺上皮との鑑別や良悪性の判定に苦慮する。間質粘液様または基底膜様物質の存在や胞体内空胞像・核内細胞質封入体などの特徴的な細胞所見の観察により、筋上皮細胞との判断は可能である。











