唾液腺細胞診
症例
唾液腺 60歳代 女性
主訴:頚部腫瘤
主訴:頚部腫瘤
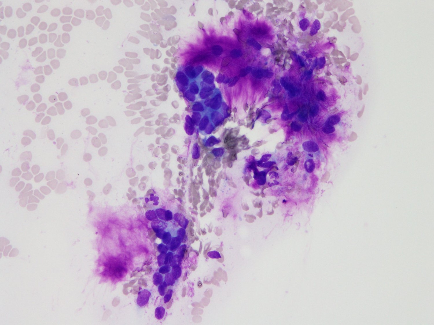
細胞診所見
パパニコロウ染色標本では、半透明、淡紫色の粘液腫様間質を伴う、上皮細胞集塊を認めた。紡錘形核を有する筋上皮性腫瘍細胞と、シート状配列を示す腺上皮様の腫瘍細胞が見られた。メイギムザ染色標本では、異染性を示す間質性粘液が見られ、粘液の辺縁は毛羽立った様な所見を示していた。一部の細胞には核腫大・軽度クロマチン増量した細胞や、核小体明瞭な細胞の小集塊が見られたが、異型細胞少数であり、異型は弱いと判断され、まずは多形腺腫を第一に考え、陰性と判定された。
組織所見
頚部腫瘤は境界明瞭な結節からなり、周囲組織との剥離は比較的容易であった。結節内はホルマリン固定後の割面上白色調で比較的均一であった。組織学的には結節の大部分には腺上皮と筋上皮の二層性を有する腺管の増生像、myxomatousな間質および軟骨成分も観察され、多形腺腫の所見であったが、一部に類円形腫大核と明瞭な核小体を有する異型細胞の管状増殖像を認めたことから、多形腺腫由来癌と診断した。
まとめ / 考察
多形腺腫として典型的な細胞像の中に、やや異型のある細胞が観察された。細胞診断では多形腺腫(陰性)と診断したが、組織において悪性成分を認め多形腺腫由来癌と診断された。少数しか出現しない細胞に対しても注意深くスクリーニングする重要性を再認識した。













