子宮体癌Mixd adenocarcinoma(serous adenocarcinoma and endometorid adenocarcinoma)の一例
症例
子宮体部 70歳代 女性
不正性器出血を認め、近医を受診し細胞診を施行。
癌を指摘され当院を紹介受診。
MRIでは子宮体部に腫瘤性病変が認められ、子宮内膜生検でadenocarcinomaと診断され、拡大子宮全摘術を施行。
不正性器出血を認め、近医を受診し細胞診を施行。
癌を指摘され当院を紹介受診。
MRIでは子宮体部に腫瘤性病変が認められ、子宮内膜生検でadenocarcinomaと診断され、拡大子宮全摘術を施行。
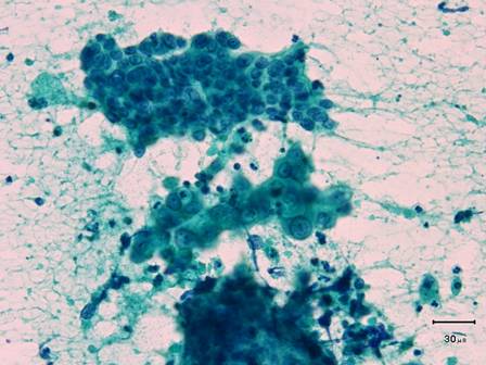
細胞診所見
出血性、壊死性背景に、大小の異型上皮細胞集塊を認めた。
細胞集塊は乳頭状で重積性を示すものと平面的なものが混在していた。
乳頭状の細胞集塊を形成する細胞の核は類円形から楕円形で、クロマチンは増量し、大小不同や異型を認めた。
また集塊辺縁は微細乳頭状のパターンが目立った。
平面的な細胞集塊の細胞の核に異型は認めるが比較的そろっていた。
細胞集塊は乳頭状で重積性を示すものと平面的なものが混在していた。
乳頭状の細胞集塊を形成する細胞の核は類円形から楕円形で、クロマチンは増量し、大小不同や異型を認めた。
また集塊辺縁は微細乳頭状のパターンが目立った。
平面的な細胞集塊の細胞の核に異型は認めるが比較的そろっていた。
組織所見
摘出された子宮内膜の腫瘤は最大径約50mmで、組織学的に、大型核の異型円柱上皮細胞の複雑な乳頭状、管状増殖よりなる成分と、大型核の異型円柱上皮細胞の管状、篩状、充実性増殖よりなる成分の2種類の組織型が混在していた。
P53、ER、PgRの免疫染色の結果も合わせserous adenocarcinomaとendometrioid adenocarcinomaよりなるmixed adenocarcinomaと診断した。
P53、ER、PgRの免疫染色の結果も合わせserous adenocarcinomaとendometrioid adenocarcinomaよりなるmixed adenocarcinomaと診断した。
まとめ / 考察
内膜細胞診でendometrioid adenocarcinomaのほかに異なる乳頭状細胞集塊をみとめた場合、serous adenocarcinomaの存在があることを念頭において診断すべきである。
また予後不良なserous adenocarcinomaを推定することは、早期診断および治療を行う上で意義があると考える。
また予後不良なserous adenocarcinomaを推定することは、早期診断および治療を行う上で意義があると考える。


