子宮内膜スメア、頚部スメア細胞診にて診断困難であった子宮体部carcinosarcoma
症例
子宮頸部 内膜 60歳代 女性
69歳。
主訴:不正性器出血
69歳。
主訴:不正性器出血
細胞診所見
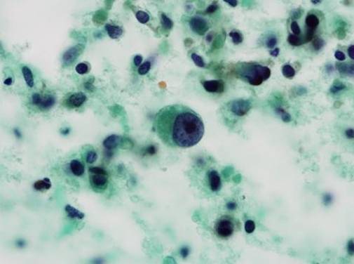
内膜、頚部スメア:変性・壊死が目立つ中に、核が偏在し著明な核小体と、不透明で豊富な細胞質を有する細胞(A)が少数認められた。
細胞が非常に多いスメアであるが、この中には核クロマチンが濃染し、重積し、結合性のある細胞集団が認められ子宮内膜の腺癌と診断した。
組織診断後の再検討では、おたまじゃくし様の細胞(B)がごく少数認められた。
細胞が非常に多いスメアであるが、この中には核クロマチンが濃染し、重積し、結合性のある細胞集団が認められ子宮内膜の腺癌と診断した。
組織診断後の再検討では、おたまじゃくし様の細胞(B)がごく少数認められた。
組織所見
子宮体部の内腔に突出する腫瘤を認め、腫瘤内には腺癌と肉腫成分が混在していた。
肉腫の細胞には細胞(A)と細胞(B)が含まれており、いずれもミオグロビン陽性を示した。

診断:子宮体部carcinosarcoma, heterolosous (endometrioid adenocarcinomaと横紋筋細胞への分化を示す肉腫細胞)
肉腫の細胞には細胞(A)と細胞(B)が含まれており、いずれもミオグロビン陽性を示した。

診断:子宮体部carcinosarcoma, heterolosous (endometrioid adenocarcinomaと横紋筋細胞への分化を示す肉腫細胞)
まとめ / 考察
子宮癌肉腫は術前の細胞診で正確に診断することが難しく、adenocarcinoma と診断されることが多い。
Adenocarcinoma 成分のみに注意が奪われてしまうことが一因と指摘されている。
本例では、細胞(A)を低分化な腺癌細胞と考えたことや肉腫細胞と判定しやすい細胞(B)が少なく又ほかの肉腫細胞に変性があり、それらの細胞形態を把握し難かったために正確な診断に至らなかった。
今後このような点に留意することがより診断率の改善のために有用と思われる。
Adenocarcinoma 成分のみに注意が奪われてしまうことが一因と指摘されている。
本例では、細胞(A)を低分化な腺癌細胞と考えたことや肉腫細胞と判定しやすい細胞(B)が少なく又ほかの肉腫細胞に変性があり、それらの細胞形態を把握し難かったために正確な診断に至らなかった。
今後このような点に留意することがより診断率の改善のために有用と思われる。


