子宮内膜擦過標本
症例
子宮内膜 50歳代 女性
症例:58才、女性
既往歴:
経妊 4、経産 4
5年前筋腫分娩 組織診断は内膜ポリープ
3年前過多月経を主訴として来院 子宮内膜細胞診施行 陰性
閉経57才
主訴:不正性器出血
現病歴:不正出血を主訴に来院した。超音波検査で子宮体部内膜が26mmと肥厚しており、内膜細胞診及び内膜生検が行われた。
検体:子宮内膜擦過標本
症例:58才、女性
既往歴:
経妊 4、経産 4
5年前筋腫分娩 組織診断は内膜ポリープ
3年前過多月経を主訴として来院 子宮内膜細胞診施行 陰性
閉経57才
主訴:不正性器出血
現病歴:不正出血を主訴に来院した。超音波検査で子宮体部内膜が26mmと肥厚しており、内膜細胞診及び内膜生検が行われた。
検体:子宮内膜擦過標本
細胞診所見
【写真解説】
1. 内膜細胞診標本中には大型の細胞集団が多く認められました。
2. この細胞集団の強拡大像です。細胞の核は円ないし類円形で、核の長径は約8ミクロンと小さく、均一大であり、この標本では悪性と確診困難です。
3. 別の細胞集団の中には腺管構造が多数認められ、いわゆる篩状構造を呈しています。
当院では内膜細胞診標本を作製すると同時に余分な材料を用いて左下のようにセルブロック標本を作製しています。
このように組織像でも篩状の構造が確認されました。
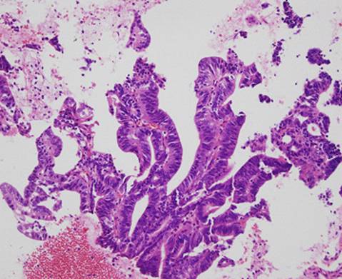
4. さらに別の細胞集団ですが、間質を中心に腺細胞が乳頭状の集塊を形成して認められました。
左下のセルブロック標本でも癌細胞が乳頭状に増生しています。
この症例は細胞異型のみでは悪性と診断困難ですが、細胞集団の構造で、篩状構造や乳頭状構造がみられ、また、当院で内膜細胞診断を行うときに採用している、重積性と密度のスコアは合計4点となり、子宮体部内膜癌を強く疑う結果が得られました。
内膜細胞診診断:陽性
セルブロック標本:Endometrioid adenocarcinomaと診断されました。
1. 内膜細胞診標本中には大型の細胞集団が多く認められました。
2. この細胞集団の強拡大像です。細胞の核は円ないし類円形で、核の長径は約8ミクロンと小さく、均一大であり、この標本では悪性と確診困難です。
3. 別の細胞集団の中には腺管構造が多数認められ、いわゆる篩状構造を呈しています。
当院では内膜細胞診標本を作製すると同時に余分な材料を用いて左下のようにセルブロック標本を作製しています。
このように組織像でも篩状の構造が確認されました。
4. さらに別の細胞集団ですが、間質を中心に腺細胞が乳頭状の集塊を形成して認められました。
左下のセルブロック標本でも癌細胞が乳頭状に増生しています。
この症例は細胞異型のみでは悪性と診断困難ですが、細胞集団の構造で、篩状構造や乳頭状構造がみられ、また、当院で内膜細胞診断を行うときに採用している、重積性と密度のスコアは合計4点となり、子宮体部内膜癌を強く疑う結果が得られました。
内膜細胞診診断:陽性
セルブロック標本:Endometrioid adenocarcinomaと診断されました。
組織所見
まとめ / 考察
内膜細胞診で、細胞の異型が弱くても、次の所見があるときには、内膜癌の可能性があるので、精査が必要である。
1.腺細胞集団に篩状構造を認めた場合。
2.腺細胞の乳頭状構造を認めた場合。
3.重積性、密度のスコアが4点以上の場合。
1.腺細胞集団に篩状構造を認めた場合。
2.腺細胞の乳頭状構造を認めた場合。
3.重積性、密度のスコアが4点以上の場合。




