子宮頸部原発神経内分泌腫瘍(非定型的カルチノイド)の一例
症例
子宮膣部 30歳代 女性
33歳。
不正性器出血と無月経を主訴に近医を受診、妊娠合併子宮頸部腫瘍を疑われ、当院へ紹介となった。
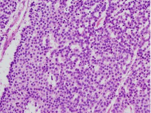
子宮頸部に約5cm大の腫瘤を認め、パンチ生検では頚部腺癌と診断された。
子宮頚癌Stage Ib2と診断し、妊娠13週時にFetus in Uteroの状態で、広汎子宮全摘出術を施行した。
33歳。
不正性器出血と無月経を主訴に近医を受診、妊娠合併子宮頸部腫瘍を疑われ、当院へ紹介となった。
子宮頸部に約5cm大の腫瘤を認め、パンチ生検では頚部腺癌と診断された。
子宮頚癌Stage Ib2と診断し、妊娠13週時にFetus in Uteroの状態で、広汎子宮全摘出術を施行した。
細胞診所見
腫瘍部の綿棒による擦過細胞診では、核は偏在し、N/C比が高く、クロマチンの顆粒状増量と著明な核小体を伴うやや小型の異型細胞が、強い重積性を持って出現していた。



