左卵巣原発のSerous adenocarcinomaの一例
症例
子宮頸部 60歳代 女性
60歳代女性。3回経妊、3回経産。
母親は胃癌で死亡。
毎年、年に一度の婦人科検診を受診し異常なし。
細胞診にてClassⅣを指摘され、子宮頸癌の疑いにて当院紹介受診。
子宮頸部擦過細胞診を施行。
60歳代女性。3回経妊、3回経産。
母親は胃癌で死亡。
毎年、年に一度の婦人科検診を受診し異常なし。
細胞診にてClassⅣを指摘され、子宮頸癌の疑いにて当院紹介受診。
子宮頸部擦過細胞診を施行。
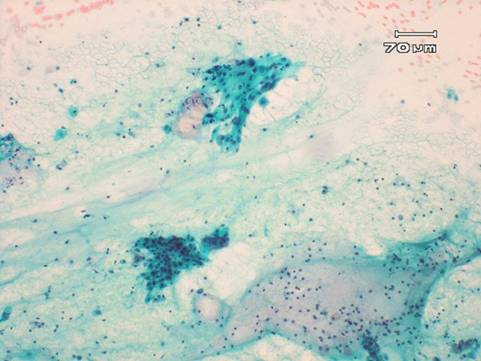
細胞診所見
炎症性変化は少なく、萎縮性変化を示す細胞が主体で、一部にクロマチンの軽度増量した異型扁平上皮細胞を認めた。
また不規則な重積性があり、細胞質はやや厚く、核の大小不同、核異型、クロマチンの増量した異型腺細胞を、乳頭状に認めた。
細胞診では疑陽性とした。
また不規則な重積性があり、細胞質はやや厚く、核の大小不同、核異型、クロマチンの増量した異型腺細胞を、乳頭状に認めた。
細胞診では疑陽性とした。
組織所見
細胞診と同時に施行された子宮頸部生検では、壊死を伴い、核の大小不同、核異型、クロマチンの増量、核小体の目立つ異型細胞が、不規則に索状、巣状に浸潤増生していた。
一部管腔構造や乳頭状構造が認められ、Adenocarcinomaと診断された。
その後のCT、MRIにより左卵巣原発の可能性が示唆され、化学療法施工後に、原発巣の摘出となった。
化学療法による治療効果を認め、摘出された左卵巣には腺癌が少数残存するのみであるが、肉眼所見および生検の組織像から、左卵巣原発のSerous adenocarcinomaと診断された。
一部管腔構造や乳頭状構造が認められ、Adenocarcinomaと診断された。
その後のCT、MRIにより左卵巣原発の可能性が示唆され、化学療法施工後に、原発巣の摘出となった。
化学療法による治療効果を認め、摘出された左卵巣には腺癌が少数残存するのみであるが、肉眼所見および生検の組織像から、左卵巣原発のSerous adenocarcinomaと診断された。
まとめ / 考察
細胞診において、子宮頸部癌・体癌と卵巣癌の鑑別は必ずしも容易ではない。
しかし出現様式や細胞質に着目し、典型的な像を示さない場合には卵巣癌の可能性も念頭におくべきである。
しかし出現様式や細胞質に着目し、典型的な像を示さない場合には卵巣癌の可能性も念頭におくべきである。


