心嚢水で細胞診陽性を示した若年女性の肺癌の1例
症例
心嚢水 20歳代 女性
20歳代、女性、心嚢水
【臨床経過】4ヶ月前に出産、授乳中。労作時の呼吸苦を認め近医を受診した。胸部X線写真で心拡大を認めたため、心筋炎疑いで当院循環器内科へ紹介となった。胸部CTで心嚢水の貯留が指摘され、細胞診が施行された。
【既往歴】特になし。
20歳代、女性、心嚢水
【臨床経過】4ヶ月前に出産、授乳中。労作時の呼吸苦を認め近医を受診した。胸部X線写真で心拡大を認めたため、心筋炎疑いで当院循環器内科へ紹介となった。胸部CTで心嚢水の貯留が指摘され、細胞診が施行された。
【既往歴】特になし。
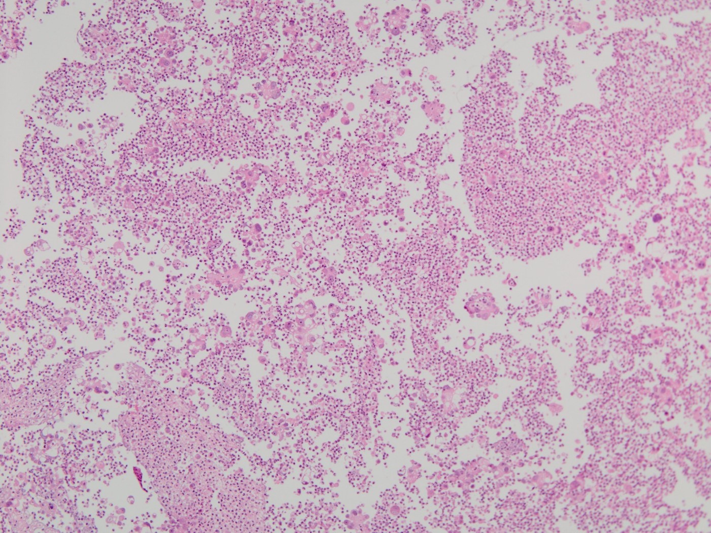
細胞診所見
炎症性細胞を背景に、核形の不整や核クロマチンの増量、明瞭な核小体を認める異型細胞が孤立散在性もしくは集塊状で出現していた。核は偏在し、PAS染色で陽性となる胞体(粘液)もみられ、腺癌細胞であると考えた。女性であることから肺・卵巣・乳腺・胃・結腸などの可能性が推測された。
組織所見
心嚢水のセルブロックと肺生検において、免疫組織化学染色(TTF-1抗体)で、腺癌細胞に陽性所見が認められた。肺腺癌の心嚢への転移浸潤と診断した。
まとめ / 考察
Pericarditis carcinomatosa
(lung adenocarcinoma)
(lung adenocarcinoma)











