扁平上皮化生を伴うワルチン腫瘍の1例

安城厚生病院

症例

左耳下腺穿刺 70歳代 男性
[症例] 78歳 男性
[部位] 左耳下腺
[臨床経過]
2ヶ月前より、耳後部に腫瘤あり。大きさは不変。
疼痛なし。穿刺して濃状のものが採取された。
[既往歴]
気管支炎で呼吸器内科通院中。喀痰では悪性所見なし。
若い頃、左右耳後部に粉瘤あり。
嗜好歴:55歳まで40~60本/日。

細胞診所見

壊死性背景に、細胞質の肥厚と核濃染傾向を示す異型角化細胞が見られ、扁平上皮癌に出現する細胞に類似しているものもある。
しかし、全体的な印象は扁平上皮癌とするほどのものではない。
ワルチン腫瘍は多形腺腫と並んで、扁平上皮化生を示すことが多い腫瘍であり、ときに壊死を伴うことがある。
異型細胞の数が少ないことや細胞異型が比較的軽度であることが鑑別点となる。

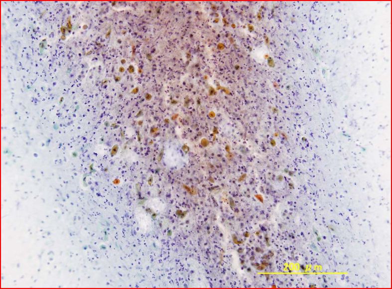
組織所見

組織では、広い好酸性の胞体を持つ細胞が、腺管状・嚢胞状構造を形成し、間質には胚中心の形成を伴うリンパ濾胞の発育を見るワルチン腫瘍の像であった。
嚢胞状構造の中には壊死物質の貯留が見られた。一部の上皮は基底部で円柱形細胞が縦に並び、上に行くに従って胞体が広くなり、最上部では細胞が横に扁平となる扁平上皮化生の像が見られた。
細胞診では、この最上部の細胞が角化細胞として観察されたものと考えられる。
ワルチン腫瘍では、時として扁平上皮化生による角化細胞が見られることがあり、扁平上皮癌と誤診しないように留意することが重要と思われる。

image006

病院別

部位別