液状化細胞診併用が有用であった肺胞蛋白症の一例
症例
気管支肺胞洗浄液 40歳代 女性
3年前より、両肺上葉優位のすりガラス陰影を指摘され、間質性肺炎として経過観察されていたが、増悪を認めた為、気管支肺胞洗浄が施行された。
3年前より、両肺上葉優位のすりガラス陰影を指摘され、間質性肺炎として経過観察されていたが、増悪を認めた為、気管支肺胞洗浄が施行された。
細胞診所見
ライトグリーン陽性の微細顆粒状物質を背景に、類円形の無構造物質や、泡沫状から顆粒状のマクロファージを散見する。これらの物質に対してPAS反応陽性を示す他、Sudan III染色にて、陽性を示すことから、リポ蛋白様物質と考えられ、肺胞蛋白症の診断に至った。
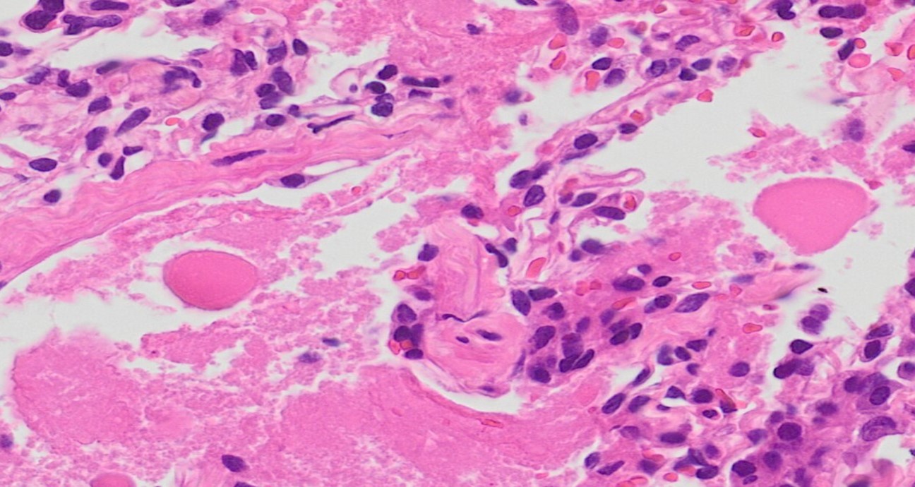
組織所見
肺胞内にエオジン好性の微細顆粒状物質が充満し、その内部には、細胞診検体で認められた類円形の無構造物質や泡沫状のマクロファージを認めた。
まとめ / 考察
液状細胞診標本の併用により、診断に至った肺胞蛋白症の一例を経験した。液状化細胞診標本の併用は、細胞成分の保持の点、特殊染色、免疫染色等の追加検索に対応できる点など、細胞診断に有用な手段と思われた。






