甲状腺内に被包化された結節状病変の一例
症例
甲状腺 50歳代 女性
【既往歴】
昨年乳癌手術後、放射線治療。子宮肉腫 (子宮卵巣全摘出)
【臨床経過】
サイログロブリン高値、甲状腺エコーを施行し、腫瘍の増大傾向を認めたため穿刺吸引細胞診を施行。
【既往歴】
昨年乳癌手術後、放射線治療。子宮肉腫 (子宮卵巣全摘出)
【臨床経過】
サイログロブリン高値、甲状腺エコーを施行し、腫瘍の増大傾向を認めたため穿刺吸引細胞診を施行。
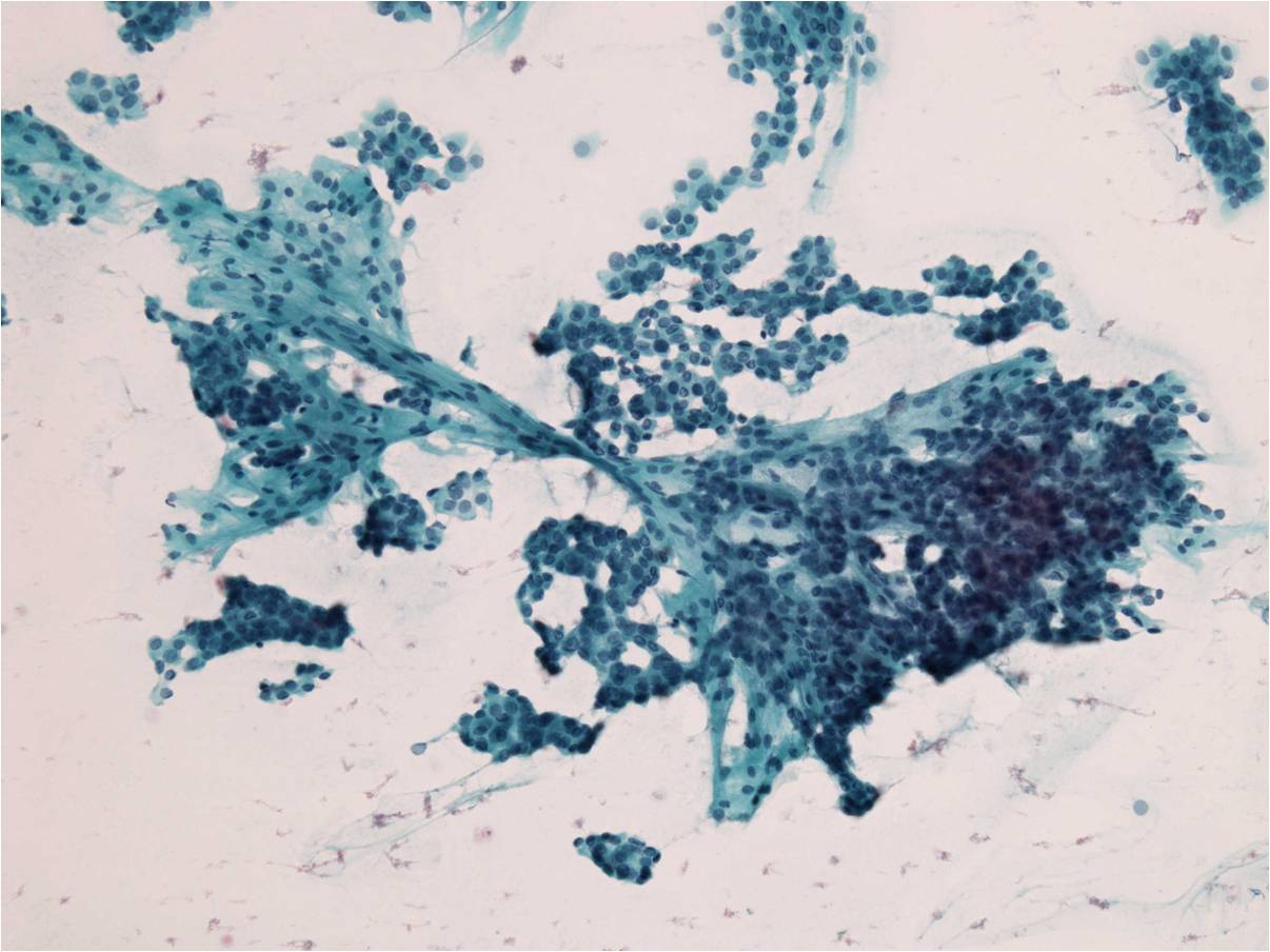
細胞診所見
血性背景、コロイドはほとんどなし。
核溝および核内封入体を散見する血管結合織を伴った乳頭状の異型細胞集塊、ならびに濾胞状構造を示す異型細胞集塊が認められた。
核溝および核内封入体を散見する血管結合織を伴った乳頭状の異型細胞集塊、ならびに濾胞状構造を示す異型細胞集塊が認められた。
組織所見
甲状腺内に被包化された境界明瞭な結節状病変を認める。
病変内では腫大核を有する濾胞上皮細胞が、小型濾胞構造を密に形成しつつ増殖するのを見る。
一部に核内封入体像を認めるも、すりガラス状の核所見は乏しい。
腫瘍周囲被膜内にリンパ管侵襲像を認める。
免疫組織化学的に、腫瘍細胞はCK19、Galectin3陽性所見を示す。
以上の所見より、Follicular carcinomaとするよりも、Papillary carcinoma、follicular variantに相当する組織像と考えられる。
病変内では腫大核を有する濾胞上皮細胞が、小型濾胞構造を密に形成しつつ増殖するのを見る。
一部に核内封入体像を認めるも、すりガラス状の核所見は乏しい。
腫瘍周囲被膜内にリンパ管侵襲像を認める。
免疫組織化学的に、腫瘍細胞はCK19、Galectin3陽性所見を示す。
以上の所見より、Follicular carcinomaとするよりも、Papillary carcinoma、follicular variantに相当する組織像と考えられる。



