硬化性血管腫の一例
症例
呼吸器 30歳代 女性
検診の胸部レントゲンにて右肺結節指摘され、当院呼吸器外科を受診。胸腔鏡下右S6区域切除術施行。
検診の胸部レントゲンにて右肺結節指摘され、当院呼吸器外科を受診。胸腔鏡下右S6区域切除術施行。
細胞診所見
背景に少数の泡沫細胞またはヘモジデリン貪食組織球を認めた。細胞および核にやや大小不同を認め、核は円~類円形、単核~2核であり、わずかに核内封入体も認められた。クロマチンは微細顆粒状であった。また、ライトグリーンに濃染する硝子化した間質を伴う細胞集塊、小血管を軸とした細胞集塊も見られた。ギムザ染色で背景に赤色の顆粒を有する泡沫細胞様細胞を散見し、肥満細胞を疑った。その確認のため手術材料でギムザ染色、抗CD117抗体染色を行ったところ細胞診と同様に赤色顆粒を有する細胞が染色され、それに一致して抗CD117 抗体染色も陽性を示した。
この結果から、背景に散見された細胞は、肥満細胞であると推測された。
この結果から、背景に散見された細胞は、肥満細胞であると推測された。
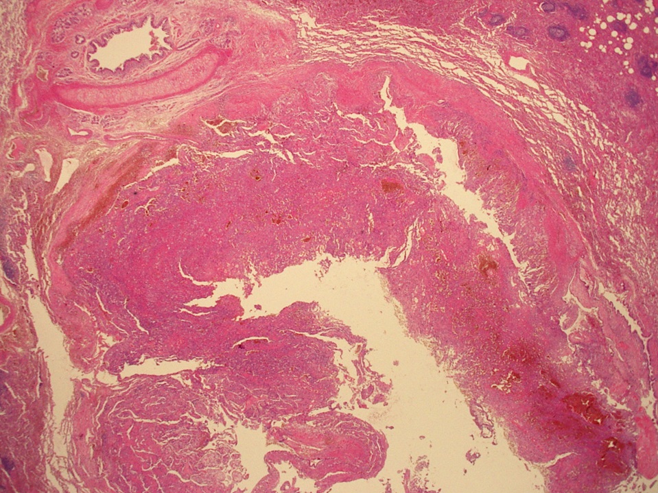
組織所見
立方状の上皮細胞が間質成分を伴い乳頭状に増性する所見が見られた。比較的均一な円形ないし多角形の上皮様細胞がシート状に増性する所見も散見された。部分的に間質の硝子化を認めた。血管腔様の部位には血液成分、ヘモジデリン貪食マクロファージ、ヘモジデリン沈着、泡沫細胞が見られた。
まとめ / 考察
CT画像、年齢、性別や細胞像から硬化性血管腫を疑ったが、ギムザ染色の背景に肥満細胞が散見され、あまり見られることがないため組織型の推定は困難だった。
過去の症例報告でも硬化性血管腫の背景に肥満細胞が確認され、硬化性血管腫の背景には肥満細胞が出現することがあると思われた。これらを判別するためにはギムザ染色が有用であると考え、ギムザ染色を行うことを推奨したい。
肥満細胞が硬化性血管腫を示唆する所見の1つになりうるかは他の良性腫瘍などをふまえ今後さらなる検討が必要であると考えられる。
過去の症例報告でも硬化性血管腫の背景に肥満細胞が確認され、硬化性血管腫の背景には肥満細胞が出現することがあると思われた。これらを判別するためにはギムザ染色が有用であると考え、ギムザ染色を行うことを推奨したい。
肥満細胞が硬化性血管腫を示唆する所見の1つになりうるかは他の良性腫瘍などをふまえ今後さらなる検討が必要であると考えられる。








