細胞診断に苦慮した乳腺腺様嚢胞癌の一例
症例
乳腺 70歳代 女性
2015年9月に受診した乳がん検診で異常を指摘され、愛知県がんセンター愛知病院乳腺科を受診した。精査の結果、左乳腺に腫瘤を認め、乳癌が疑われ穿刺吸引細胞診が施行された。
2015年9月に受診した乳がん検診で異常を指摘され、愛知県がんセンター愛知病院乳腺科を受診した。精査の結果、左乳腺に腫瘤を認め、乳癌が疑われ穿刺吸引細胞診が施行された。
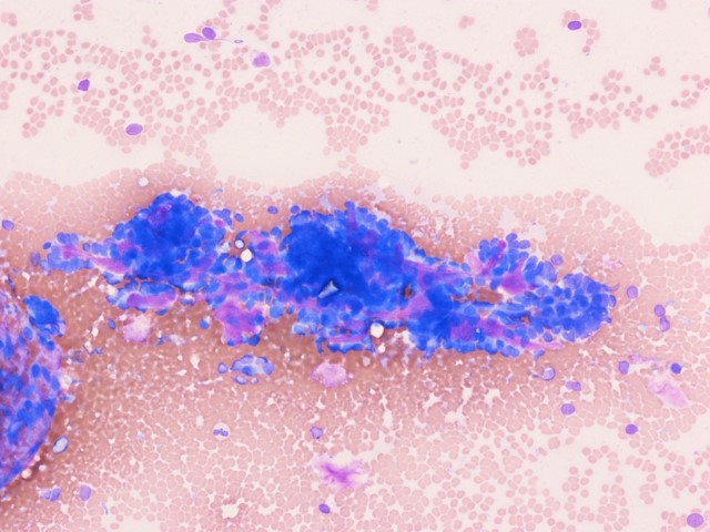
細胞診所見
細胞量は豊富で、裸核細胞を背景に大型篩状構造を示す異型細胞の集塊を多数認めた。異型細胞は小型でN/C比が高く顆粒状に増量した核クロマチンを有していた。二相性は不明瞭で、Pap標本ではライトグリーン好染、MG標本では異染性を示す基質を認めた。細胞の増生が強く乳管癌を疑ったが、通常の乳癌と比較し細胞異型が軽度で確定には至らず、悪性疑いとして報告した。
組織所見
細顆粒状のクロマチンを有する異型細胞が、管状や篩状構造を形成して浸潤性に増殖していた。腔内に淡い粘液、硝子様基質を含む偽腺腔と、分泌粘液を含む真の腺腔が混在してみられた。以上、特徴的な所見を示したことから腺様嚢胞癌と診断された。







