耳下腺に発生した神経鞘腫
症例
耳下腺 50歳代 男性
主訴は左耳下腺部の腫脹で、CT検査にて左耳下腺浅葉内に19mm大の結節を認め、穿刺吸引細胞診が施行された。
主訴は左耳下腺部の腫脹で、CT検査にて左耳下腺浅葉内に19mm大の結節を認め、穿刺吸引細胞診が施行された。
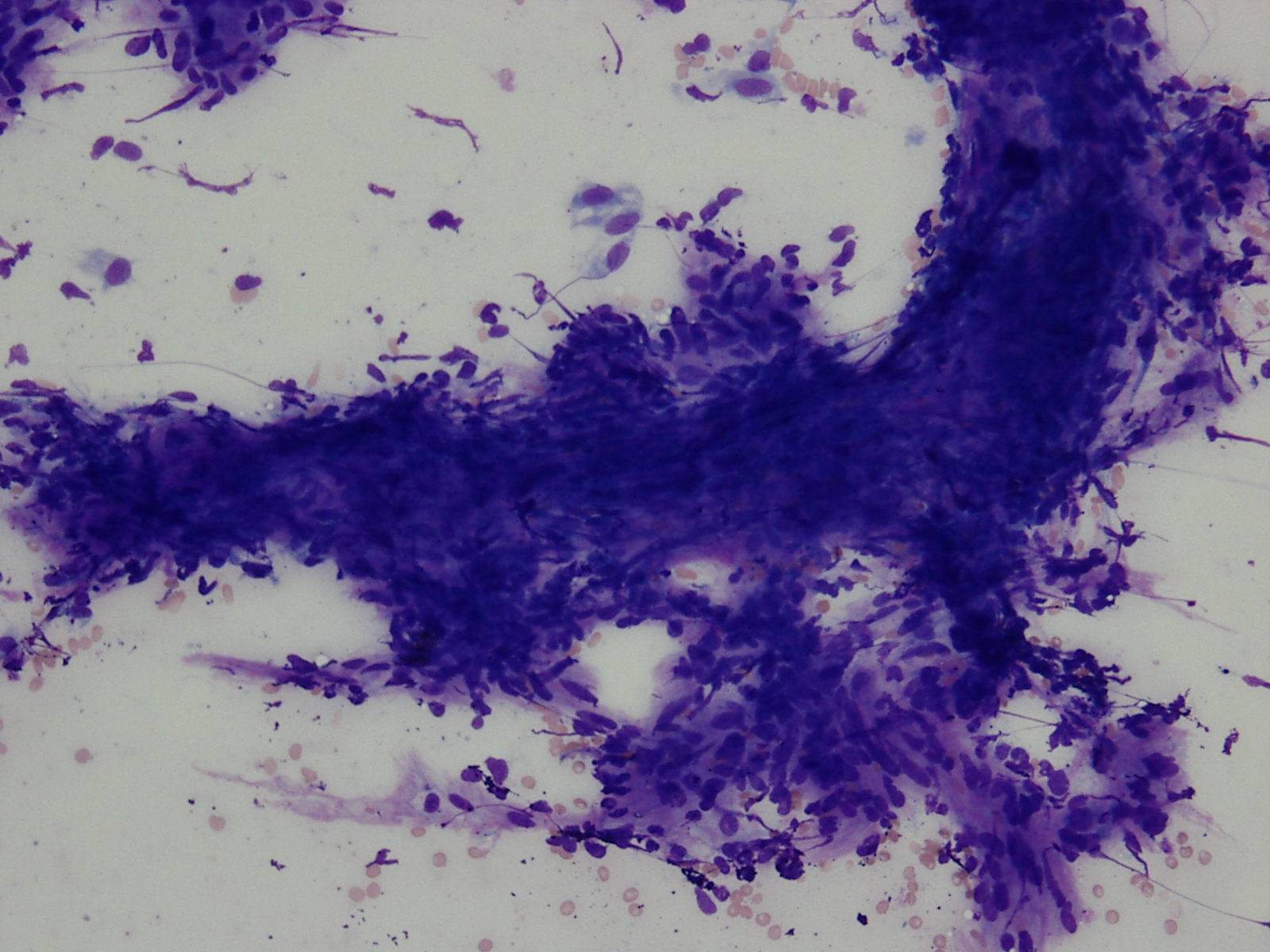
細胞診所見
きれいな背景に、紡錘形細胞の集塊を少数認めた。明らかな上皮系細胞は認められなかった。細胞境界は不明瞭で、細胞の長軸方向に沿って流れるように配列していた。核形は楕円形ないし紡錘形であった。核密度が高く、軽度の異型も認められたため、腫瘍性病変を疑ったが確定には至らなかった。
きれいな背景に、紡錘形細胞の集塊を少数認めた。明らかな上皮系細胞は認められなかった。細胞境界は不明瞭で、細胞の長軸方向に沿って流れるように配列していた。核形は楕円形ないし紡錘形であった。核密度が高く、軽度の異型も認められたため、腫瘍性病変を疑ったが確定には至らなかった。
きれいな背景に、紡錘形細胞の集塊を少数認めた。明らかな上皮系細胞は認められなかった。細胞境界は不明瞭で、細胞の長軸方向に沿って流れるように配列していた。核形は楕円形ないし紡錘形であった。核密度が高く、軽度の異型も認められたため、腫瘍性病変を疑ったが確定には至らなかった。
組織所見
線維性被膜に覆われた、境界明瞭な結節がみられ、結節内には長楕円形の核を有する紡錘形細胞が束状に増生していた。紡錘形細胞が密な部分と、粘液腫様または浮腫状の基質を有する疎な部分が認められた。核のpalisadingもみられた。高度な異型や分裂像は観察されず、神経鞘腫と診断した。
まとめ / 考察
耳下腺に発生した神経鞘腫を経験した。組織診断の結果を踏まえ改めて細胞診標本を観察すると、一部の細胞集塊では神経鞘腫に特徴的な核の柵状配列を示し、Antoni Aパターンを疑わせるような細胞像だった。
本症例の経験から、同様の細胞所見を認めた場合、本疾患の存在を念頭に置くことが大切である。
本症例の経験から、同様の細胞所見を認めた場合、本疾患の存在を念頭に置くことが大切である。



