胚細胞腫瘍-血液悪性腫瘍症候群を発症した一例
症例
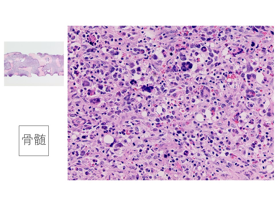
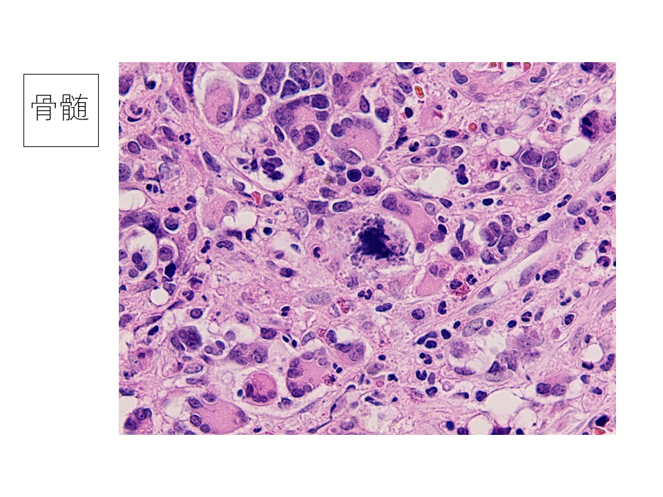
骨髄生検スタンプ 縦隔腫瘍スタンプ 10歳代 男性
1ヶ月半前から微熱を繰り返したため前医を受診。LD 7,300と血小板 3万台を認めたため当院血液内科に紹介。
血液疾患を疑い骨髄穿刺、及びCTで前縦隔に腫瘤を認めたため縦隔腫瘍の生検を施行した。
1ヶ月半前から微熱を繰り返したため前医を受診。LD 7,300と血小板 3万台を認めたため当院血液内科に紹介。
血液疾患を疑い骨髄穿刺、及びCTで前縦隔に腫瘤を認めたため縦隔腫瘍の生検を施行した。
細胞診所見
縦隔腫瘍スタンプ:背景にリンパ球を認める。結合性は弱く小シート状または孤立散在性、細胞質はライトグリーンに淡染し、核は円形から類円形で核縁の肥厚は無い。明瞭な1個から2個の核小体を認める。
骨髄生検スタンプ:多核の大型異型細胞を散在性に認める。周囲には小型から中型の芽球様の細胞が出現している。大型細胞の細胞質の一部に細胞突起様の存在が疑われる。
骨髄生検スタンプ:多核の大型異型細胞を散在性に認める。周囲には小型から中型の芽球様の細胞が出現している。大型細胞の細胞質の一部に細胞突起様の存在が疑われる。
組織所見
骨髄組織:多核で多型性を示す大型細胞が散在し、奇怪な核分裂像を認める。免疫染色の結果FactorⅧとCD61がともに陽性で、急性巨核芽球性白血病と診断。
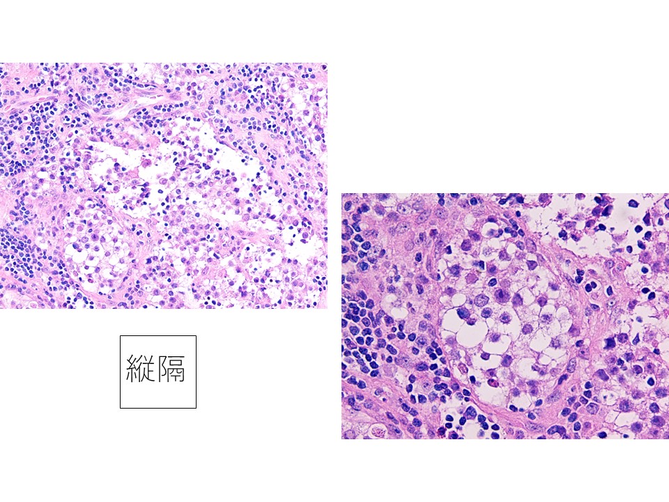
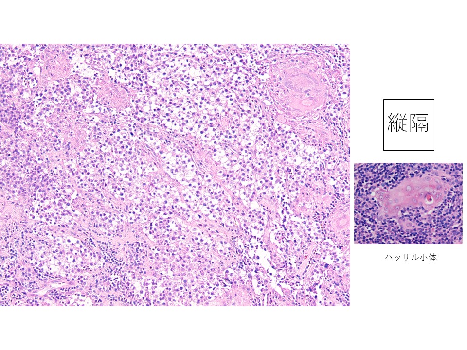
縦隔組織:核小体が明瞭な腫瘍細胞とリンパ球のtwo cell patternを示す。免疫染色の結果c-kit陽性で、セミノーマと診断。その他の胚細胞腫瘍の存在は証明できなかった。
縦隔組織:核小体が明瞭な腫瘍細胞とリンパ球のtwo cell patternを示す。免疫染色の結果c-kit陽性で、セミノーマと診断。その他の胚細胞腫瘍の存在は証明できなかった。
まとめ / 考察
骨髄細胞の診断に苦慮した。縦隔腫瘍からの転移を考えていたが、細胞をよく観察すると巨核芽球に特徴的な所見(ブレブ:細胞突起)を認めたことから、血液疾患を指摘することは可能であったと思われる。
縦隔胚細胞腫瘍-血液悪性症候群という概念を知っていれば、骨髄の腫瘍は血液疾患であると言えたのではないかと感じた。
縦隔胚細胞腫瘍-血液悪性症候群という概念を知っていれば、骨髄の腫瘍は血液疾患であると言えたのではないかと感じた。


















