腔内腫瘤にEUS-FNAを行い肝細胞癌と診断した1例
症例
腹腔内腫瘤 80歳代 男性
大腿骨大転子骨折で救急搬送され、発熱・腎障害の精査のため行った胸腹部CTで左上腹部に腫瘤を指摘された。診断のためEUS-FNAが行われた。
大腿骨大転子骨折で救急搬送され、発熱・腎障害の精査のため行った胸腹部CTで左上腹部に腫瘤を指摘された。診断のためEUS-FNAが行われた。
細胞診所見
入り組んだ索状の細胞集塊で、辺縁にはほつれを伴っていた。腫瘍細胞間には褐色色素が観察された。腫瘍細胞は多角形でライトグリーン好性顆粒状細胞質を有し、核には核内偽封入体や核溝が散見された。
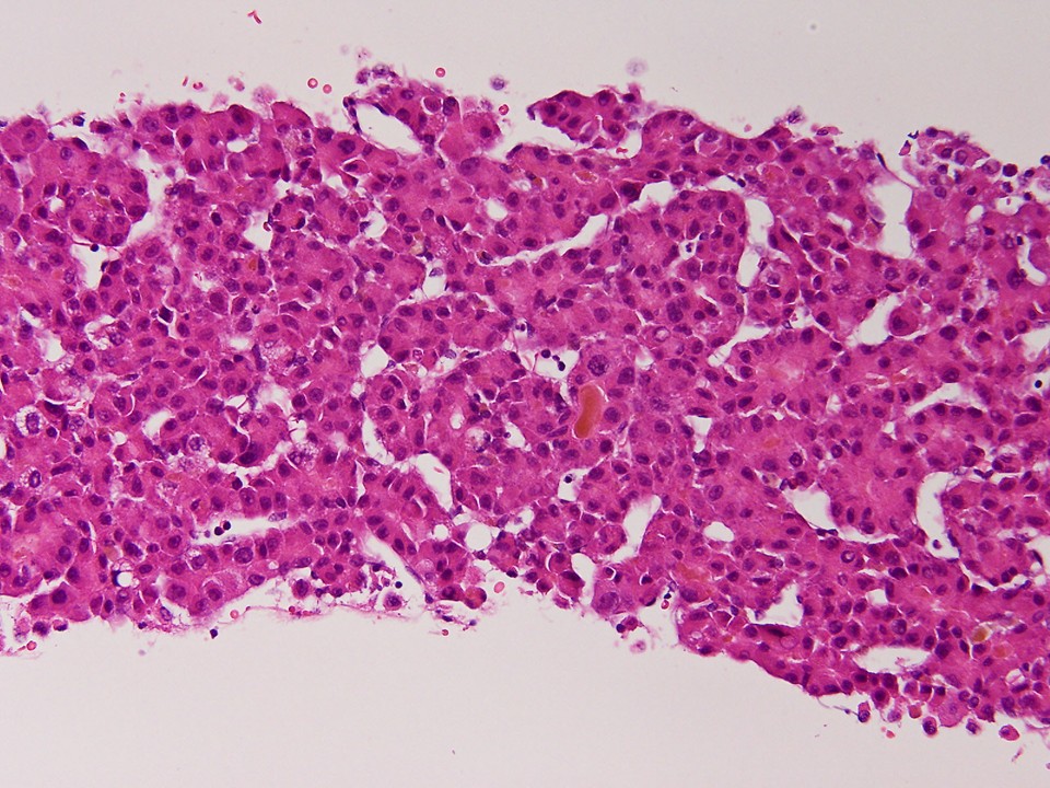
組織所見
索状に増殖する肝細胞癌で、褐色色素は胆汁であった。核内偽封入体も観察された。
まとめ / 考察
核内偽封入体は甲状腺乳頭癌のほか肺腺癌、肝細胞癌など様々な腫瘍で見出される。上腹部に発生した腫瘍で封入体を認めた場合、肝細胞癌は鑑別の上位に挙げられる。本例ではCT画像で肝臓とは無関係の腫瘤と考えられたが、後方視的に考えると肝外発育型肝細胞癌としても矛盾しなかった。






