腹水貯留,イレウスにて発症した小腸発生骨髄肉腫の一例
症例
小腸 30歳代 男性
30代後半。
腸イレウスにて緊急入院。
画像検査にて小腸腫瘍が疑われ、手術が施行された。
30代後半。
腸イレウスにて緊急入院。
画像検査にて小腸腫瘍が疑われ、手術が施行された。
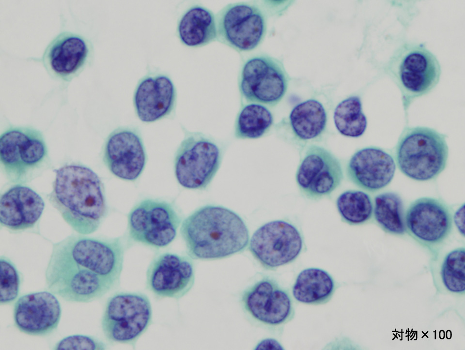
細胞診所見
結合性に乏しくN/C比大、核縁不整で核の切れ込みを伴う異型細胞が多数出現していており悪性リンパ腫を推定した。
組織所見
小腸壁全層性に異型類円形核細胞がびまん性増殖していた。
悪性リンパ腫を疑ったが免疫染色ではT、B細胞マーカーが陰性、MPO、MT-1、KP-1、c-kitが陽性で、最終的に骨髄肉腫(myeloid sarcoma)と診断した。
悪性リンパ腫を疑ったが免疫染色ではT、B細胞マーカーが陰性、MPO、MT-1、KP-1、c-kitが陽性で、最終的に骨髄肉腫(myeloid sarcoma)と診断した。
まとめ / 考察
骨髄肉腫は髄外に発生する幼若な骨髄系細胞によるまれな腫瘤形成性病変であり、急性白血病および骨髄増殖性疾患に先行、または同時に発症する。
細胞診断は容易ではないがリンパ腫を疑った場合、鑑別診断の一つとして考慮すべき疾患であり、細胞診においては対物100倍での詳細なアズール顆粒の検索が重要と思われた。
細胞診断は容易ではないがリンパ腫を疑った場合、鑑別診断の一つとして考慮すべき疾患であり、細胞診においては対物100倍での詳細なアズール顆粒の検索が重要と思われた。





