腹膜封入嚢胞の術中捺印細胞診の一例

川口 規子1)伊藤 謙吾1) 河口 由里江1) 小笠原 将人1)竹田 美帆1) 佐原 晴人1) 島 寛太2)

症例

大網 20歳代 女性
数日前より右下腹部痛出現し当院ER受診し,CT 及び MRI 検査にて腹腔内液体貯留及び骨盤内多房性腫瘤を認め精査となる.腹腔内を大小様々な多房性嚢胞が占拠しており,大網が術中迅速として提出された.嚢胞内容液は漿液性であった.

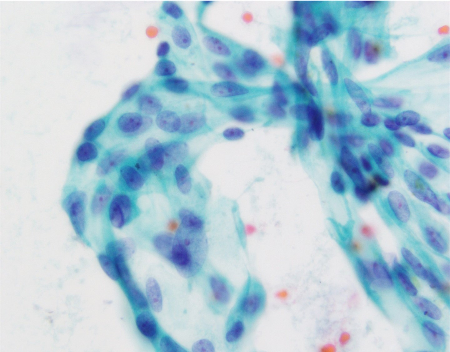
細胞診所見

間質結合織が主体で上皮増殖性は指摘できない.
含まれている細胞の核は類円形~楕円形で軽度の大小不同が見られるが, 核クロマチンの増量など核異型に乏しい印象で腫瘍性疾患とも言及し難く, 反応性病変なども鑑別に挙がる.

組織所見

組織学的に異型の乏しい単層扁平細胞により裏打ちされた大小様々な嚢胞が認められる。
免疫組織化学的にこの細胞は calretinin, WT-1, D2-40, PAX-8, AE1/AE3, claudin 4 に陽性であり、ER に陰性である。BAP-1, MTAP の発現は保たれている。以上より腹膜封入嚢胞と診断した。

まとめ / 考察

術中所見などは非常に華々しく, 病変の広がりが広範囲に及ぶことから低異型度漿液性癌が疑われていた. 実際に鏡検してみると上皮成分は含まれておらず, 漿液性癌の否定については容易であった.捺印細胞診において細胞が落ちないというのも一つの所見であると思われた.

病院別

部位別