EUS-FNAで診断された後腹膜腫瘍の一例
症例
EUS-FNA 後腹膜腫瘍 40歳代 男性
背部痛を主訴に他院を受診し、後腹膜に腫瘤を認めたため当院受診。腫瘤に対してEUS-FNAが施行された。
背部痛を主訴に他院を受診し、後腹膜に腫瘤を認めたため当院受診。腫瘤に対してEUS-FNAが施行された。
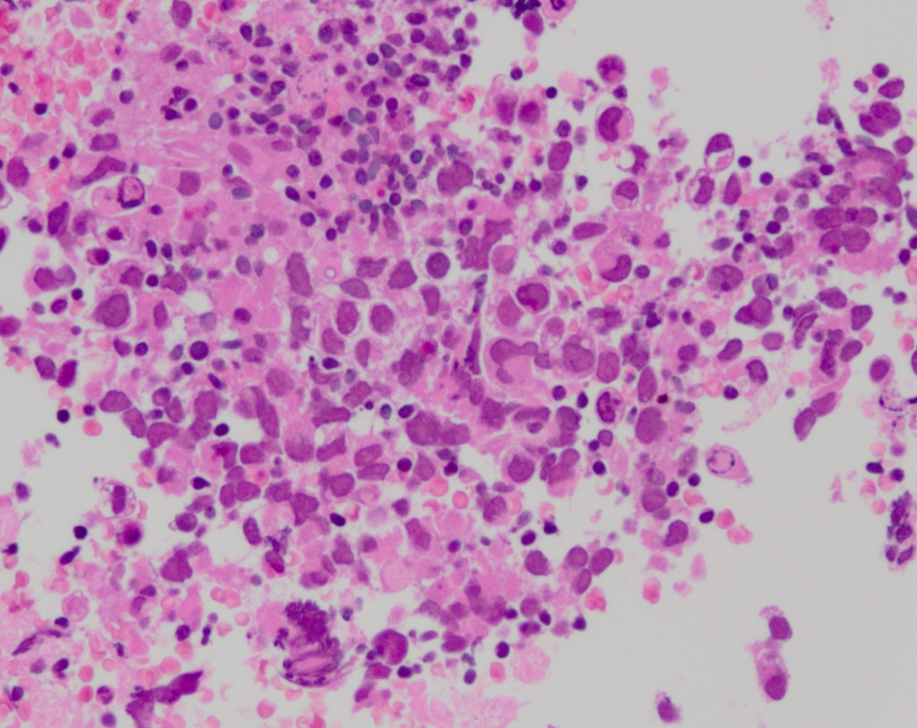
細胞診所見
簡易ギムザ染色で大型類円形腫瘍細胞の出現と、tigroid backgroundを認めた。Pap染色で細胞質は淡明、一部に硝子小体様物質を認めた。核は大型類円形で細顆粒状のクロマチン、明瞭な核小体を有していた。
組織所見
セルブロックを用いた免疫染色で腫瘍細胞はPLAP(+)、c-kit(+)、Oct-3/4(+)を示しセミノーマと診断された。
まとめ / 考察
【経過】その後右精巣に原発巣を認めたため、高位精巣摘除術および化学療法が行われた。
【まとめ】Tigroid backgroundはセミノーマなどのグリコーゲン豊富な腫瘍に特徴的とされ、簡易ギムザ染色で認められ、セミノーマの推定に有用であった。EUS-FNAにセルブロックを併用することにより、適切な診断が可能と考えられた。
【まとめ】Tigroid backgroundはセミノーマなどのグリコーゲン豊富な腫瘍に特徴的とされ、簡易ギムザ染色で認められ、セミノーマの推定に有用であった。EUS-FNAにセルブロックを併用することにより、適切な診断が可能と考えられた。











