Pulmonary alveolar proteinosis
症例
呼吸器 60歳代 男性
60歳代、男性
【現病歴】4ヶ月前に近医でインフルエンザと診断された後に肺炎を合併し当院紹介受診。両肺上葉のスリガラス影の残存を認め経過観察していたが改善乏しく精査のため気管支・肺生検とBALを行った。
【検体】気管支洗浄液塗抹標本
60歳代、男性
【現病歴】4ヶ月前に近医でインフルエンザと診断された後に肺炎を合併し当院紹介受診。両肺上葉のスリガラス影の残存を認め経過観察していたが改善乏しく精査のため気管支・肺生検とBALを行った。
【検体】気管支洗浄液塗抹標本
細胞診所見
粘液と組織球を背景にライトグリーン及びオレンジG好染性の顆粒状や類円形状の無構造な物質をみとめる。
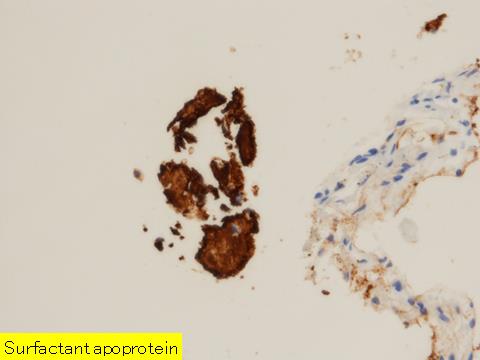
組織所見
肺胞内に好酸性細顆粒状物質およびやや粗大な顆粒状物質が充満し、泡沫状組織球を伴っている。顆粒状物質はPAS陽性で免疫組織化学的にsurfactant apoprotein陽性である。以上より、Pulmonary alveolar proteinosisと診断した。




